Ana Sayfa Arama Galeri Video Yazarlar
Üyelik
Üye Girişi
Yayın/Gazete
Yayınlar
Kategoriler
Servisler
Nöbetçi Eczaneler Sayfası Nöbetçi Eczaneler Hava Durumu Namaz Vakitleri Puan Durumu
WhatsApp
Sosyal Medya
Uygulamamızı İndir

    Bayburt’ta Öksürük Şikayetiyle Gelen Hastada Akciğerinde Kitle Tespit Edildi, Tedavi Sonrası Sağlığına Kavuştu

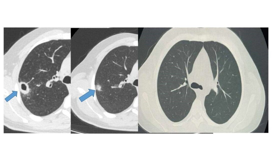
    Bayburt Devlet Hastanesi’ne öksürük ve balgam şikayetiyle başvuran 50 yaşındaki hasta, yapılan tetkiklerle akciğerinde kitle tespit edildi. Uzm. Dr. Hilal Sayma’nın yönlendirmesiyle bronkoskopi yapıldı, ciddi bir hastalık olmadığı anlaşıldı. İki haftalık tedavi sonrası hasta sağlığına kavuşarak taburcu edildi.

    Bayburt Devlet Hastanesi'ne öksürük ve balgam şikayetiyle başvuran 50 yaşındaki

    Bayburt’ta Erken Tanı Hayat Kurtardı

    Bayburt Devlet Hastanesi’ne öksürük ve balgam problemiyke başvuran 50 yaşındaki bir hasta, yapılan muayene neticesinde akciğerinde kitle benzeri bir doku ile karşılaştı. Ancak, yapılan çeşitli tetkiklerde hastanın durumunun ciddi bir hastalık taşımadığı ortaya kondu. Erken teşhis ve uygun tedavi yöntemleri sayesinde hasta sağlığına kavuştu.

    Bronkoskopi İşlemi ile Netlik Kazandı

    Göğüs hastalıkları alanında uzman Uzm. Dr. Hilal Sayma tarafından muayene edilen hastaya ileri düzey tetkikler için bronkoskopi uygulandı. Bu işlemin ardından elde edilen bulgular, lezyonun kanser ya da tüberküloz gibi ciddi bir hastalıkla ilişkisinin bulunmadığını gösterdi. Bu tespit, hasta için gerekli tedavin sürecinin başlatılmasını sağladı.

    Başarı ile Sonuçlanan Tedavi Süreci

    İki haftalık tedavi süresinin ardından yapılan kontrollerde hastanın akciğerindeki lezyonun büyük ölçüde gerilediği belirtildi. Sağlıklı bir duruma ulaşan hasta, başarıyla taburcu edildi ve genel durumunun iyi olduğu kaydedildi. Erken tanı ile gerçekleştirilen bu müdahale, ciddi sağlık sorunlarını önlemekte önemli bir rol oynadı.