Karabük Hastanesi’nde Başarılı Diş Ototransplantasyonu Uygulaması
Karabük Ağız ve Diş Sağlığı Eğitim ve Araştırma Hastanesi’nde, 16 yaşındaki bir hastaya gerçekleştirilen diş ototransplantasyonu yöntemi büyük bir başarı ile uygulandı.
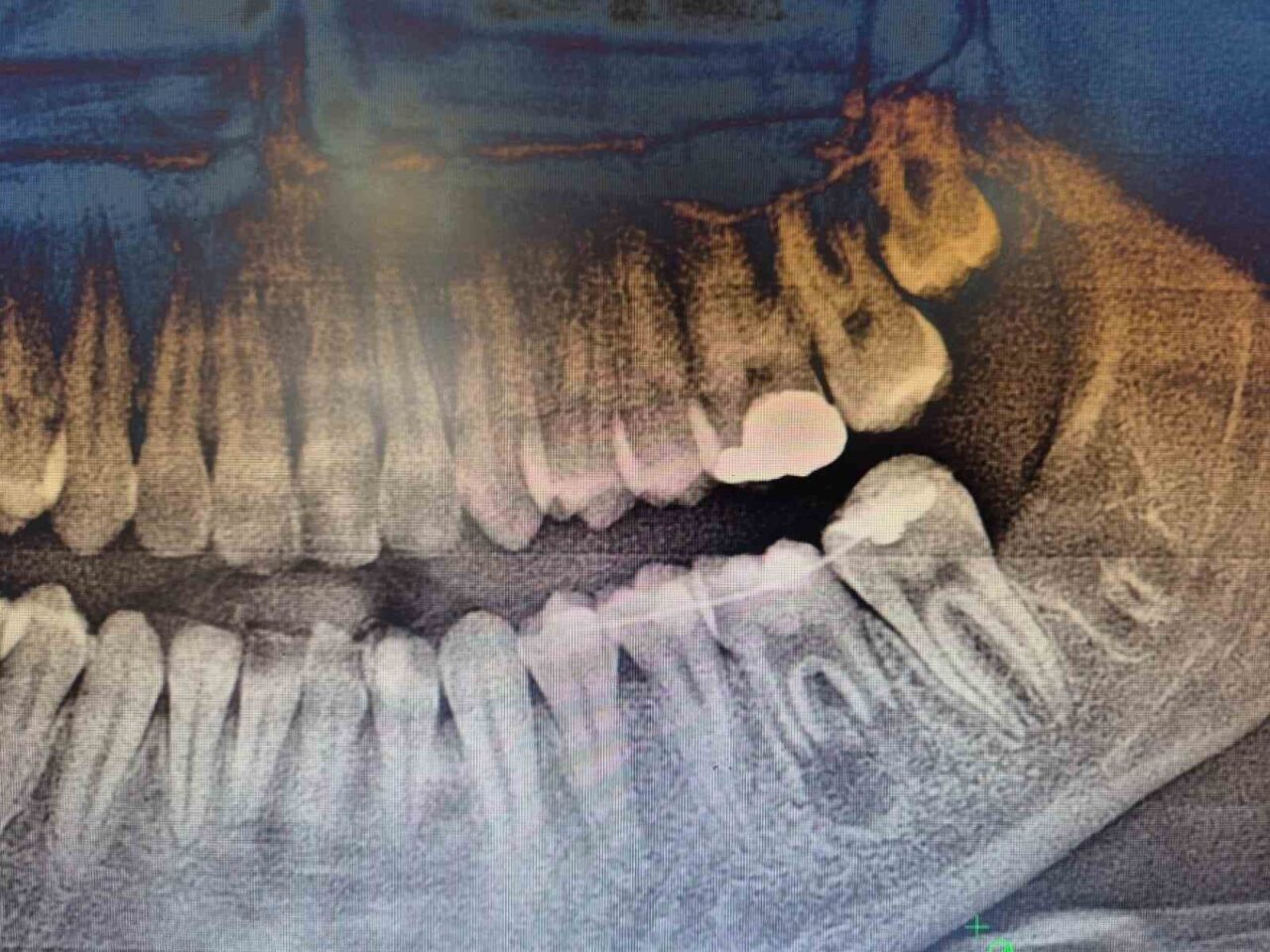
İleri Düzey Çürük Sonrası Çözüm
Hastanın daimi azı dişi, ileri düzey çürük nedeniyle çekilmişti. Yaşı itibarıyla çene gelişimi henüz devam eden hastada, geleneksel implant tedavisi uygun bulunmadı. Uzman ekip, hastanın ağız içinde gömülü durumda bulunan yirmi yaş dişini cerrahi bir işlemle çıkararak, çekilen dişin yerine nakil etti.
Doğal Biyomateryaller ile Destek
Operasyon sürecinde, dişin yerinde sağlıklı bir şekilde tutunabilmesi için hastanın kendi kanından elde edilen PRF (Platelet Rich Fibrin) biyomateryali, diş yuvasına yerleştirildi. Bu doğal yöntem, doku iyileşmesini hızlandırdığı gibi hücre yenilenmesi üzerindeki olumlu etkisi ile dikkat çekiyor. Hastanın kendi dişinin kullanılması, görünüm, uyum ve fonksiyon açısından önemli avantajlar sunarken, vücut tarafından kabul edilme oranı yüksek olduğundan, uzun vadeli başarı olasılığı da artıyor.
Operasyonun başarılı bir şekilde gerçekleştirilmesi, Karabük Üniversitesi Diş Hekimliği Fakültesi’nden Doç. Dr. Olcay Özdemir ve Ağız, Diş ve Çene Cerrahisi Anabilim Dalı’ndan Dr. Öğr. Üyesi Muhammed Abdullah Çege tarafından sağlandı.
Gelecekteki Alternatif Tedavi Seçenekleri
Uzmanlar, diş ototransplantasyonunun, özellikle çocuklar ve genç hastalar için etkili bir tedavi seçeneği olduğunu vurguladı. Karabük Ağız ve Diş Sağlığı Eğitim ve Araştırma Hastanesi Başhekimi Prof. Dr. Ahmet Taylan Çebi ise, bu tür uygulamaların hastane bünyesinde yapılmış olmasından duyduğu memnuniyeti dile getirerek, bölge halkına ileri düzey tedavi seçenekleri sunmaya devam edeceklerinin altını çizdi.

