Beyin Damarlarında Anevrizma Olan Hasta, Kapalı Yöntemle Tedavi Edildi
Van Eğitim ve Araştırma Hastanesi Girişimsel Radyoloji Merkezi’nde gerçekleştirilen başarılı bir operasyonla, beyin damarlarında baloncuk (anevrizma) teşhisi konulan 44 yaşındaki bir kadın hasta, ameliyatsız şekilde tedavi edildi.
Baş Ağrısı ve Bilinç Bulanıklığı Şikayetiyle Hastaneye Başvurdu
Bitlis Devlet Hastanesi’ne baş ağrısı ve bilinç bulanıklığı belirtileriyle gelen Sacide Derman, yapılan tetkikler sonucu beyin kanaması geçirdiği saptandı. Hastanın durumu ciddiyet kazanarak, ileri tedavi için Van Eğitim ve Araştırma Hastanesi’ne sevk edildi. Burada gerçekleştirilen anjiyografi ile beyin damarlarında anevrizma varlığı tespit edildi.
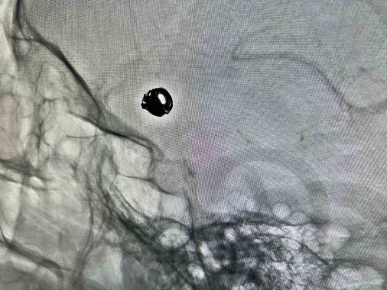
Kapalı anjiyografik yöntemle hastanın kasığından damarların içine girilerek anevrizmanın tedavisi için platin teller (coil) kullanıldı. Yapılan takipler neticesinde, hastanın sağlık durumunun giderek iyileştiği bildirildi.
Başhekim’den Açıklama: Komplike Hastalar Merkezlere Sevk Ediliyor
Hastane Başhekimi Doç. Dr. Remzi Sarıkaya, “Hastamızın dış merkezdeki tomografi incelemesi sonrasında beyin kanaması ve anevrizma tespit edildi. Hızla ambulans ile Van Eğitim ve Araştırma Hastanesi’ne taşındı. Kasıktan yapılan müdahale ile beyin damarlarına ulaşıldı ve endovasküler tedaviye uygun bulunarak işlem yapıldı. Yaklaşık 1,5 saat süren işlemin ardından anevrizmanın içi platin tellerle kapatıldı. Bu uygulama ile yeniden kanama riski ortadan kaldırıldı” şeklinde bilgi verdi.
Girişimsel Radyoloji Uzmanı Dr. Berat Demiral da hastanın Van Eğitim ve Araştırma Hastanesi’ne sevk edilme sürecini ve yapılan anjiyografi işlemini aktardı. “Hastada yapılan tomografi sonucunda beyin kanaması tespit edildi ve anjiyo işlemi gerçekleştirildi. Gerekli müdahale ile anevrizmanın tedaviye uygun olduğuna karar verildi. İşlem sırasında anevrizmanın ağzına mikrokateterle ulaşarak, içine platin teller yerleştirildi ve kan akışının durdurulması sağlandı” dedi.
Kapalı Yöntemin Avantajları
Dr. Demiral, anevrizma tedavisinde iki ana yöntem bulunduğunu vurgulayarak, kapalı yöntemin avantajlarını şöyle açıkladı: “Kapalı yöntem, kasıktan girilerek beyin damarına ulaşılır ve baloncuk platin telle kapatılır. Açık beyin ameliyatında ise kafatası açılarak anevrizmanın boynuna klips yerleştirilir. Her iki yöntemin amacı da anevrizmayı devre dışı bırakmaktır. Ancak kapalı yöntem, hastalar için daha konforlu olup komplikasyon riski daha düşük ve hastanede kalış süresi daha kısa olmaktadır.” Hastanın tedavi sürecinin başarıyla devam ettiğini ve genel durumunun iyi olduğunu belirten Dr. Demiral, takip ve ilaç tedavisinin sürdüğünü aktardı.

