Antakya’dan Filistin’e Destek Mesajı
Antakya Belediye Başkanı İbrahim Naci Yapar, 2 Ekim tarihinde gerçekleştirilen Belediye Meclisi toplantısında Filistin’e yönelik desteklerini dile getirdi. Başkan Yapar, meclis üyeleriyle birlikte, savaşın sona ermesi için umut ettiklerini ifade etti.
İsrail’in Zulmüne Karşı Birlikte Durma Vurgusu
Başkan Yapar, konuşmasında, “İsrail’in uyguladığı zulüm devam ederken, Filistin’i tanıyan devletlerin sayısının giderek arttığını görüyoruz. Avrupa’nın çeşitli ülkeleri de bizimle aynı görüşte. Yaşanan acıların bir an önce son bulması için dualarımızı ediyoruz. Gazze ve Filistin tarihimizde önemli bir yere sahip. Antakya Belediyesi olarak, savaş ve katliamların sona ermesi talebine destek veriyoruz” dedi.
Bu açıklamalar, yerel yönetimin uluslararası meselelerdeki duyarlılığını bir kez daha ortaya koydu.
ANTAKYA BELEDİYE BAŞKANI İBRAHİM NACİ YAPAR, GERÇEKLEŞTİRİLEN MECLİS TOPLANTISINDA FİLİSTİN’E DESTEK MESAJI VEREREK “SAVAŞIN VE KATLİAMIN SONA ERMESİ TEMENNİSİNE BELEDİYE MECLİS ÜYELERİMİZLE BİRLİKTE KATILIYORUZ” DEDİ.
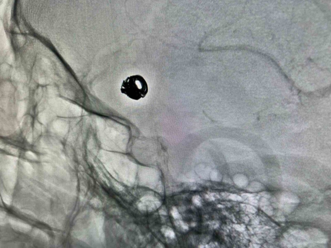
VAN EĞİTİM VE ARAŞTIRMA HASTANESİ GİRİŞİMSEL RADYOLOJİ MERKEZİ’NDE BEYİN DAMARLARINDA BALONCUK (ANEVRİZMA) BULUNAN VE BUNA BAĞLI BEYİN KANAMASI GEÇİREN 44 YAŞINDAKİ KADIN HASTA, KAPALI YÖNTEMLE YAPILAN ANJİYOGRAFİ SAYESİNDE AMELİYATSIZ TEDAVİ EDİLDİ.
VAN EĞİTİM VE ARAŞTIRMA HASTANESİ GİRİŞİMSEL RADYOLOJİ MERKEZİ’NDE BEYİN DAMARLARINDA BALONCUK (ANEVRİZMA) BULUNAN VE BUNA BAĞLI BEYİN KANAMASI GEÇİREN 44 YAŞINDAKİ KADIN HASTA, KAPALI YÖNTEMLE YAPILAN ANJİYOGRAFİ SAYESİNDE AMELİYATSIZ TEDAVİ EDİLDİ.
VAN EĞİTİM VE ARAŞTIRMA HASTANESİ GİRİŞİMSEL RADYOLOJİ MERKEZİ’NDE BEYİN DAMARLARINDA BALONCUK (ANEVRİZMA) BULUNAN VE BUNA BAĞLI BEYİN KANAMASI GEÇİREN 44 YAŞINDAKİ KADIN HASTA, KAPALI YÖNTEMLE YAPILAN ANJİYOGRAFİ SAYESİNDE AMELİYATSIZ TEDAVİ EDİLDİ.
VAN EĞİTİM VE ARAŞTIRMA HASTANESİ GİRİŞİMSEL RADYOLOJİ MERKEZİ’NDE BEYİN DAMARLARINDA BALONCUK (ANEVRİZMA) BULUNAN VE BUNA BAĞLI BEYİN KANAMASI GEÇİREN 44 YAŞINDAKİ KADIN HASTA, KAPALI YÖNTEMLE YAPILAN ANJİYOGRAFİ SAYESİNDE AMELİYATSIZ TEDAVİ EDİLDİ.
VAN EĞİTİM VE ARAŞTIRMA HASTANESİ GİRİŞİMSEL RADYOLOJİ MERKEZİ’NDE BEYİN DAMARLARINDA BALONCUK (ANEVRİZMA) BULUNAN VE BUNA BAĞLI BEYİN KANAMASI GEÇİREN 44 YAŞINDAKİ KADIN HASTA, KAPALI YÖNTEMLE YAPILAN ANJİYOGRAFİ SAYESİNDE AMELİYATSIZ TEDAVİ EDİLDİ.
VAN EĞİTİM VE ARAŞTIRMA HASTANESİ GİRİŞİMSEL RADYOLOJİ MERKEZİ’NDE BEYİN DAMARLARINDA BALONCUK (ANEVRİZMA) BULUNAN VE BUNA BAĞLI BEYİN KANAMASI GEÇİREN 44 YAŞINDAKİ KADIN HASTA, KAPALI YÖNTEMLE YAPILAN ANJİYOGRAFİ SAYESİNDE AMELİYATSIZ TEDAVİ EDİLDİ.








