Kayseri’de Uyuşturucu Operasyonu
Kayseri İl Emniyet Müdürlüğü’ne bağlı ekipler, İran’dan Türkiye’ye gelen şüpheler üzerinde yaptığı çalışmalar sonucunda, midesinde kapsül şeklinde yarım kilo uyuşturucu madde buldu.
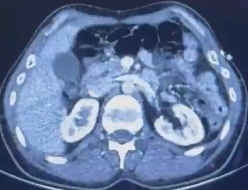
Şüphelilerin Yakalanması
Elde edilen bilgilere göre, Narkotik Suçlarla Mücadele Şube Müdürlüğü tarafından uluslararası uyuşturucu madde trafiği yapan kurye şahıslara yönelik bir operasyon gerçekleştirildi. İran’dan Türkiye’ye uyuşturucu madde getirildiği tespit edilen S.C., R.B.C. ve G.M. isimli şüpheli şahıslar gözaltına alındı.
Kayseri Şehir Hastanesi’nde yapılan iç beden muayeneleri sırasında, S.C. ve R.B.C.’nin mide kısımlarında toplamda 554 gram uyuşturucu madde içeren 50 kapsül bulundu. Şüpheliler, “Uyuşturucu Madde Ticareti Yapmak” suçlamasıyla gözaltına alındı.
Emniyet Müdürlüğü’nden Açıklama
Kayseri İl Emniyet Müdürlüğü, uyuşturucu ve uyarıcı madde satıcılarına karşı gerçekleştirilen mücadelenin kararlılıkla sürdürüleceğini bildirdi. Açıklamada, bu tür operasyonların devam edeceği vurgulandı.


