Ankara’da sahipsiz köpeklerden kaçarken ayağının kayması sonucu düşen şahsın el bileği kırıldı.
Kolunda kalıcı hasar oluşan şahıs, belediyenin başıboş köpeklerle yeterince ilgilenmediğini ileri sürdü.
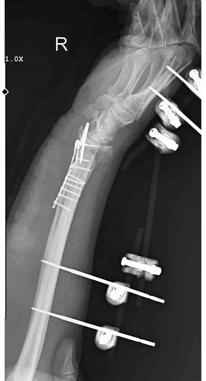
Olay, 29 Aralık günü Mamak’ta gerçekleşti. Alınan bilgilere göre, 35 yaşındaki Yasin Arslantaş, yaşadığı apartmanın önünde yaklaşık 10 sahipsiz köpek tarafından kovalandı. Kaçmaya çalışırken düşerek el bileğini kıran Arslantaş, ambulansla hastaneye kaldırıldı. Bilek kemiğine 11 adet platin takılan Arslantaş’ın kolunda kalıcı his ve hareket kaybı yaşandı. Olay nedeniyle maddi ve manevi açıdan zor günler geçirdiğini belirten Arslantaş, belediye ekiplerinin yaşanan probleme hala çözüm üretmediğini iddia etti.
Bileğimde 15 dikiş ve 11 platin var
Yasin Arslantaş, “Sabah apartmandan çıkış yaptığım sırada arkamdan 9 köpeğin geldiğini gördüm. Saldırgan hale gelmişlerdi. Bana saldırmak üzerelerdi. Kaçmaya çalışırken ayağım kaydı ve düştüm. Bileğimde 15 dikiş ve 11 platin var. İki ay boyunca kolum bu halde kalacak, ardından da 2 buçuk ay fizik tedavi süreci olacak. Doktorlar his ve hareket kaybımın olacağını söylediler. Bileğimde büyük kemiğin kırılmasından dolayı zorlu bir süreç geçiriyorum. 3 saatlik bir ameliyat geçirdim” dedi.
Çevrede hala köpekler var
Belediye görevlilerinin olayla yeterince ilgilenmediğini öne süren Arslantaş, “Günlük işlerde çalışıyordum. Artık işsizim. Köpekler burada sürekli dolaşıyordu. Daha önce de bu konuda çok şey duymuştum. Kötü bir durumdayım, zarar gördüm. Şikayette bulunmak istedim. Mamak Belediyesinin ilgilenmesi gerektiğini söylediler. Kendilerine ulaşamadım. Yaklaşık 20 gün sonra dönüş yaptılar. O dönüşü de CİMER’e yaptığım şikayet yüzünden yaptıklarını ifade ettiler. Köpekleri toplamaya geldiklerini söylediler ama yapmadılar. Çevrede hala köpekler mevcut” diye konuştu.
Psikolojik olarak çok kötüyüm
Ailesiyle birlikte zor zamanlar geçirdiğini dile getiren Arslantaş, “7 yaşında bir kızım var. Köpekler sebebiyle okul servisine yazdırmak zorunda kaldık. O da korktu ve bu durumdan etkilendi. Psikolojik olarak çok kötü durumdayım. Köpek gördükçe sokak değiştiriyorum. Eşim de işinden izin almak zorunda kaldı. Ailecek bu durumdan psikolojik olarak etkilendik” ifadelerini kullandı.
İhlas Haber Ajansı

